
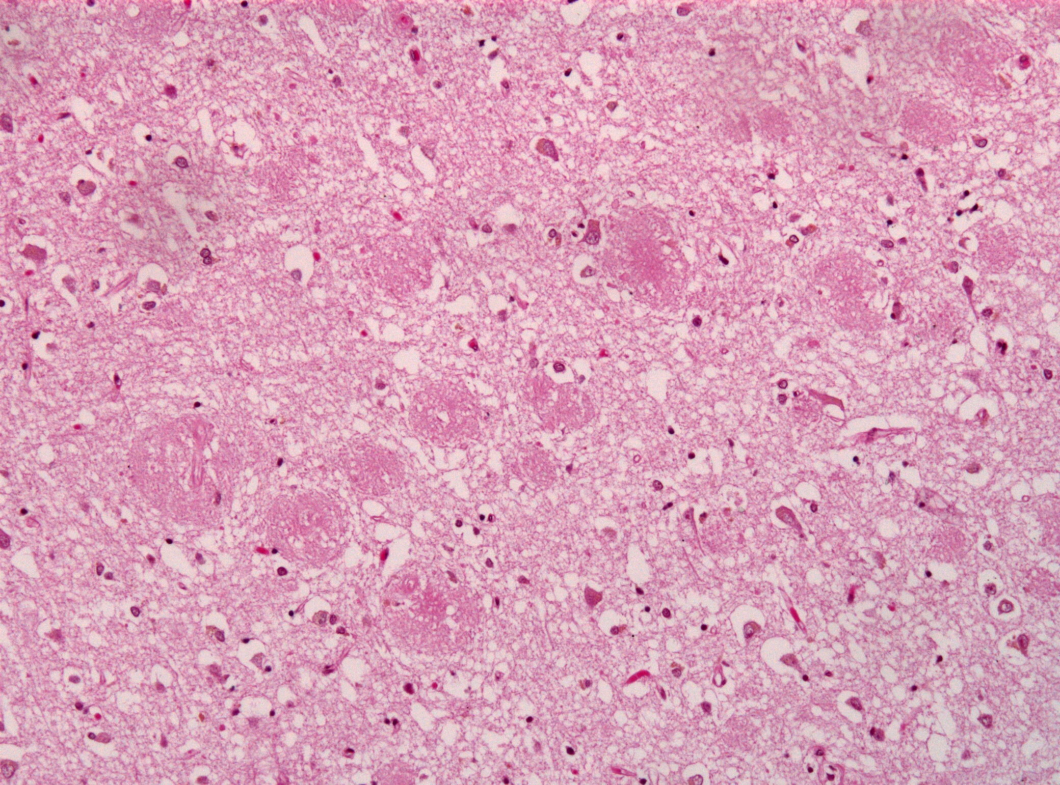
Placche di beta-amiloide nel campione autoptico di un paziente con malattia di Alzheimer. Crediti: Jensflorian/Wikimedia Commons. Licenza: CC BY-SA 3.0
La malattia di Alzheimer rappresenta la forma più comune di demenza: colpisce circa il 5 per cento delle persone con età superiore ai sessant'anni e si stima che, in Italia, vi siano 500mila affetti. Sebbene nota fin dall'inizio del Novecento, quando il medico tedesco Alois Alzheimer e il giovane ricercatore italiano Gaetano Perusini la descrissero per la prima volta, e nonostante il lavoro dei molti ricercatori che vi si sono dedicati, a tutt'oggi per la malattia di Alzheimer non è disponibile una cura. Non solo: anche i meccanismi che sono alla base dello sviluppo della patologia restano in parte oscuri. La ragione è che, salvo rarissimi casi dovuti a mutazioni monogeniche e legati a forme molto precoci di sviluppo della malattia, quello di Alzheimer è un morbo complesso, il cui sviluppo è determinato dal contributo si fattori sia ambientali sia genetici. È proprio nel filone di ricerca dei fattori di rischio genetici che s'inserisce il più grande studio internazionale realizzato finora, cui hanno partecipato anche l'Università di Milano e la Fondazione IRCCS Ca’ Granda, Ospedale Policlinico di Milano, che ha portato all'identificazione di nuove varianti rare in geni che possono essere implicati nei meccanismi di sviluppo della malattia.
La ricerca, pubblicata ad aprile sulla rivista Nature Genetics, è basata su uno studio di genome-wide association analysis, un tipo d'indagine che permette di stabilire delle correlazioni tra determinate varianti genetiche e il rischio di sviluppare la malattia, mettendo a confronto due popolazioni, una sana e una malata; tanto più grande è la differenza tra la popolazione malata e quella sana, quanto maggiore è l'importanza del gene nel contribuire allo sviluppo della malattia. È comunque bene sottolineare che si tratta di correlazioni che individuano fattori di rischio, non geni determinanti che porteranno con certezza allo sviluppo della malattia.
Sebbene questo tipo di studi sia già stato condotto in passato, l'ultima ricerca ha potuto avvalersi di un campione molto vasto, che ha permesso di identificare varianti rare. I ricercatori di Milano, insieme a oltre trecento gruppi di ricerca europei e americani, hanno infatti condotto le analisi su più di 94mila individui, riuscendo così a stabilire un'associazione tra la malattia di Alzheimer e cinque nuove varianti genetiche.
Immunità e infiammazione, un ruolo chiave
«Le varianti genetiche che abbiamo individuato come fattore di rischio per lo sviluppo della malattia di Alzheimer sono localizzate in geni chiave per i meccanismi dell'immunità e dell'infiammazione», spiega Daniela Galimberti, ricercatrice dell'Università di Milano e co-autrice dell'articolo. «Questo risultato ci conferma che immunità e infiammazione hanno un ruolo importante nei meccanismi che portano all'insorgenza dell'Alzheimer. Studi in vitro e condotti su campioni autoptici avevano già evidenziato che le cellule del sistema immunitario del cervello, rappresentate dalla microglia, risultano attivate nei cervelli dei pazienti malati. La produzione di citochine innesca una reazione infiammatoria, che può diventare o meno cronica a seconda dei casi, e che è quindi sicuramente coinvolta nello sviluppo dell'Alzheimer; non è tuttavia noto se inneschi altri processi coinvolti nello sviluppo della patologia».
Inoltre, la mappatura fine della regione HLA (il complesso maggiore d'istocompatibilità, che permette al sistema immunitario di riconoscere il self dal non-self) ha confermato che un particolare aplotipo è un fattore di rischio per lo sviluppo dei casi sporadici di Alzheimer. «Varianti di HLA sono associate a malattie autoimmuni, dove il sistema immunitario si attiva contro componenti specifiche del proprio organismo. L'aspetto interessante è che questi meccanismi HLA sembrano essere alterati anche in una malattia neurodegenerativa come l'Alzheimer », commenta Galimberti.
Le conferme delle ricerche precedenti
La malattia di Alzheimer è caratterizzata dalla deposizione, nel cervello dei pazienti affetti, di placche insolubili di beta-amiloide, un peptide con effetti neurotossici. Alcuni studi hanno suggerito che sia la formazione di queste placche a portare alla deposizione di un'altra proteina, la proteina tau, che, modificata in modo anomalo, forma ammassi neurofibrillari che sono i principali responsabili della morte neuronale che si manifesta con demenza. «Un'ipotesi è che le cellule della microglia si attivino nel tentativo di fagocitare la proteina amiloide ma, non riuscendoci, si determini la de-regolazione di tutto il sistema. L'aver trovato dei geni coinvolti proprio in questa cascata di eventi supporta l'ipotesi, ma saranno necessari altri studi per confermarla», spiega Galimberti. «Il nostro lavoro, inoltre, è un'importante conferma degli studi precedenti. Ad esempio, abbiamo trovato varianti correlate al rischio di sviluppare la malattia in geni che agiscono sul metabolismo dell'amyloid precursor protein (una proteina il cui taglio anomalo determina la produzione di beta-amiloide). Le varianti che influenzano l'amyloid precursor protein e il processamento della beta-amiloide non sono dunque associate solo alle forme familiari precoci di Alzheimer ma anche ai casi sporadici. A differenza di quanto avviene nelle forme monogeniche del morbo, però, queste varianti non sono causali ma aumentano il rischio».
